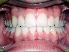
Before & After Case Studies
A picture is worth a thousand words. If you are curious about how effectively we can treat your case, take a look at the below success stories of previous patients. Each of these individuals had their own unique orthodontic and dental issues that were successfully treated.
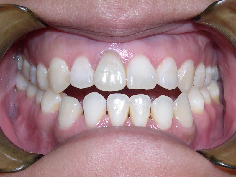
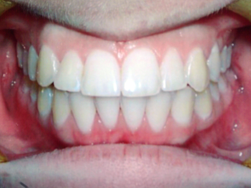
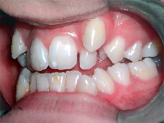
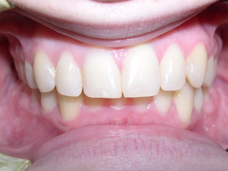
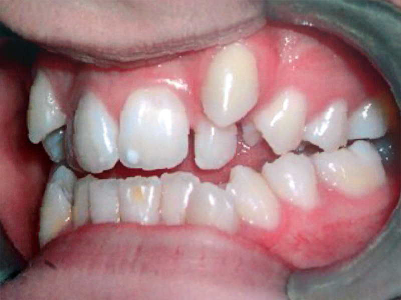
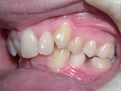
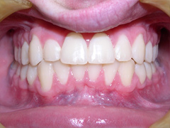
Case #1
Teenager presented with severe crowding on the upper arch with blocked out eyeteeth, moderate crowding on the lower and a strong tendency for a protrusive lower jaw. No Permanent teeth were extracted.
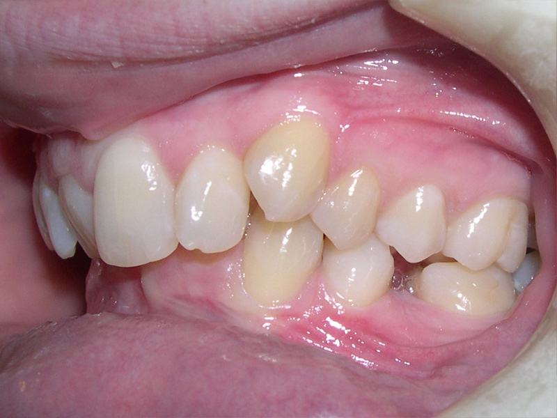
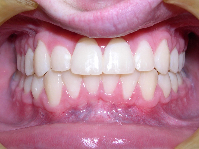
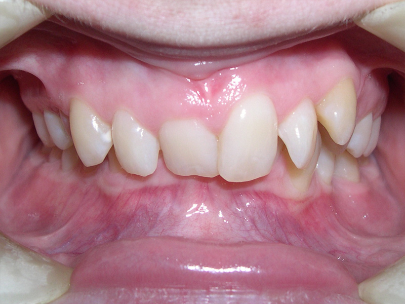
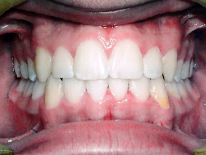
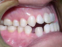
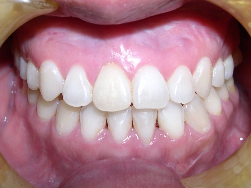
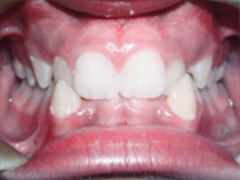
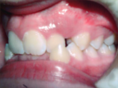
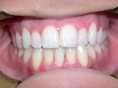
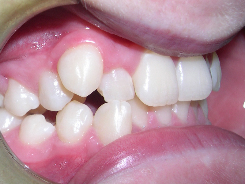
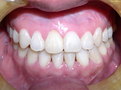
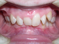
Case #2
Teenager presented with a constricted upper arch, crowding on the upper and lower arch. No permanent teeth were extracted.
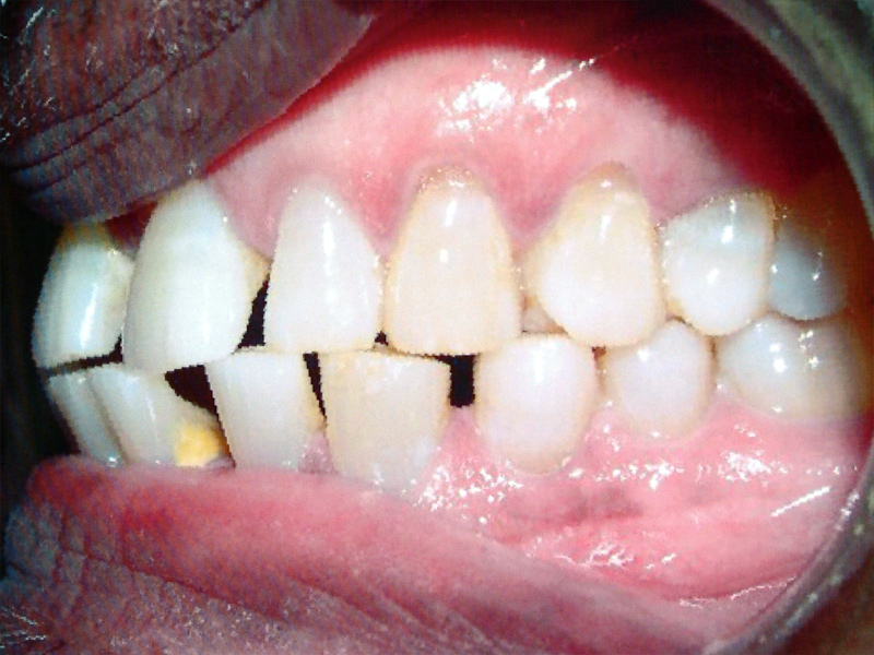
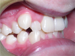
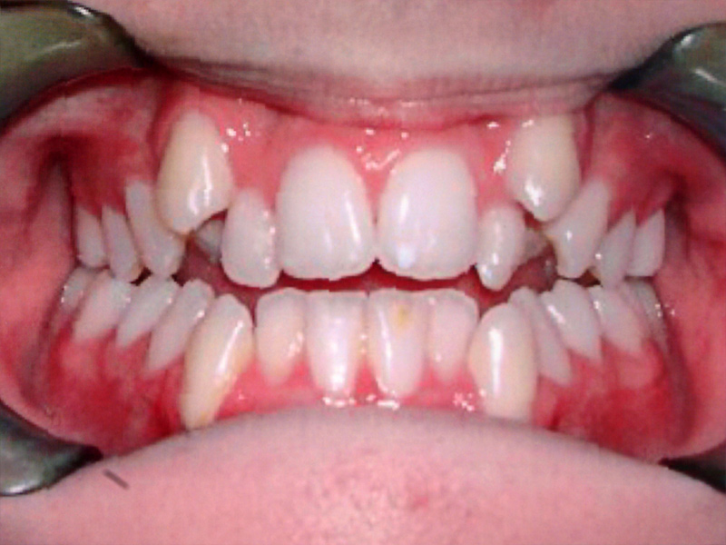
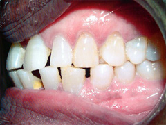
Case #3
Adult with moderate to severe deep bite, retruded lower jaw, retroclined upper front teeth and crowding. Surgery was done to bring the lower jaw forward.
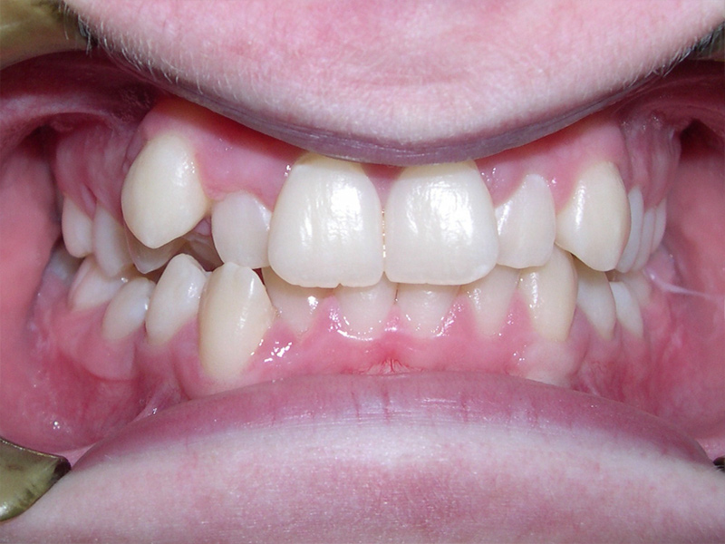
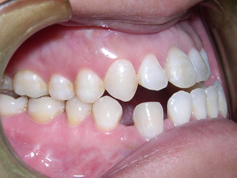
Case #4
Teenager presented with a protruding lower jaw, severe crowding on the upper and lower arches, the upper eyeteeth were blocked out and the lower front teeth were retroclined.
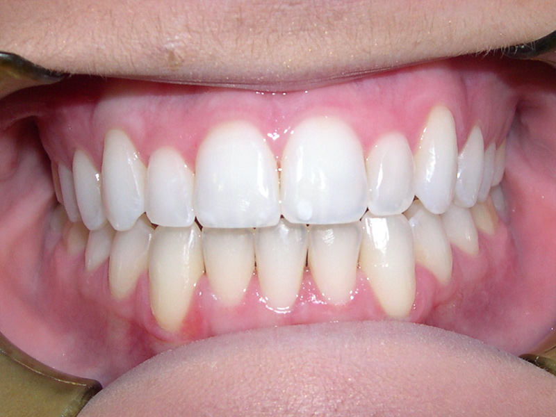
Case #5
Adult presents with a protrusive lower jaw, an open bite in the front, generalized spaces on the lower arch and some rotated teeth on the upper arch. Surgery was done to bring the lower jaw back and create an ideal bite in the front.
Case #6
Child presented with a protruding and constricted upper jaw, deep bite, front teeth were retroclined, severe generalized crowding and upper eyeteeth were blocked out preventing them to erupt.
Case #7
Adult presented with a strong tendency for a protruding lower jaw, bite was end to end, spaces on the upper and lower and teeth flared forward.
